This Dangerous Fungus Can Make You Sick (And It Might Be Spreading To Your Backyard)

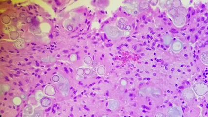
In the western United States, a fungus known as Coccidioides is the cause of valley fever. This is the name commonly used to refer to the acute form of the illness coccidioidomycosis which impacts nearly 20,000 people each year in the U.S. However, the Centers for Disease Control and Prevention has highlighted that it is largely underreported, and estimates which take this into account suggest that up to 360,000 people contract this illness annually.

Valley fever results from the inhalation of Coccidioides spores that live in soil and dirt, which generates a lung infection. This can then lead to shortness of breath, fever, chest pain, and fatigue. Approximately 15–30% of community-acquired pneumonia in Phoenix and Tucson is caused by Coccidioides. Although valley fever is the acute form of coccidioidomycosis, it can become even more serious and develop into a chronic illness. People with weak immune systems are at the greatest risk for this ongoing infection.

However, for the most part, valley fever cases do not become severe. In fact, roughly 60% of Coccidioides infections are asymptomatic. Still, 5–10% of people develop lasting complications. Individuals most likely to be negatively impacted include people with diabetes, those taking immunosuppressants, and pregnant women. Additionally, Black and Filipino populations are disproportionately affected, and researchers remain unsure of the underlying reason for this. In some cases, infection can even lead to organ failure and death, with about 200 fatalities reported each year.

The impact of climate change on valley fever spread

In the past several years, cases have rapidly risen. Since 2014, the amount of recorded infections in California has multiplied by a factor of four. In Arizona, cases have increased by 73% in the past decade alone. Although a portion of this trend may be accounted for by improvements in diagnostic tools, the steep rise has also been connected to changes in the climate.

Compared to other microbes, Coccidioides manages to impressively survive periods of drought. This is thought to be due to its ability to become dormant in such dry conditions. Because of this, rates of infection are lowest during drought years. When the soil becomes wet, the fungus is revived, allowing illness-causing spores to spread. Therefore, in the time immediately following a drought, after rainfall, valley fever infections peak. Climate change has been shown to drive weather extremes and models have demonstrated that warmer temperatures increase the variability of rainfall. Meaning that both drought and precipitation events are exacerbated by global warming.

Additionally, scientists suggest that spores are heavily spread during wildfires, leading to a rise in infections and regional expansion of this dangerous fungus. As global temperatures skew warmer, wildfires continue to grow in duration and area. Although valley fever is currently restricted to the Southwest, models of climate change have predicted that the affected area will more than double by the end of the 21st Century.

Ways to reduce infection risk

Exposure is more common in people who work outdoors and come in contact with open-air dust. These include occupations like archeology, firefighting, landscaping, and construction. Since no vaccine is currently available to prevent valley fever, it is important to take precautionary steps, particularly if you belong to an at-risk group. First, consider wearing a mask if you are in a highly affected area. Second, look out for signs of a dust storm and avoid going outdoors if possible. Finally, make sure that windows and doors are properly sealed where you live to avoid the intrusion of spores.

Valley fever does not only affect humans; it can also develop in animals. Although all mammals can be infected by Coccidioides, it is much more common in dogs as opposed to cats. This is likely due to their higher propensity to disturb the soil by digging. Past years have also shown rapid increases in valley fever infections in dogs. Like humans, most of these cases are self-limiting and go unnoticed. However, severe symptoms can still develop. So, if you are in an area where Coccidioides is known to exist, monitor your pets and try to limit exposure to soil by keeping to sidewalks.

As climate change continues to accelerate, cases and impacted areas will only increase. Therefore, be mindful of any work or travel that might lead to exposure and monitor your symptoms. If you notice shortness of breath, consult a physician and don't ignore the signs.

Recommended